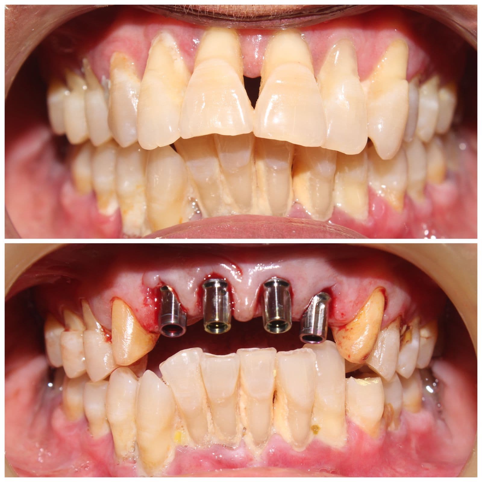
Our Services > Prosthodontics
Our prosthodontic clinic excels in advanced dental services, offering dental implants for comprehensive tooth restoration, custom dentures for optimal function and aesthetics, top-notch crowns and bridges, as well as inlays and onlays. We specialize in personalized full mouth rehabilitation plans for overall oral health improvement. Additionally, our clinic provides cosmetic prosthodontic services, including veneers, for those seeking aesthetic enhancements. Trust us for expert care, ensuring your smile is both functional and radiant.


⭐⭐⭐⭐⭐
I have recently moved to Chandigarh and remember calling a friend to ask for the best dentist in the city, my friend asked if I needed the closest to where I lived or the best? I said the best and indeed, without any doubts it turned out to be the best. I am extrenely satisfied as I was looking for cosmetic changes (Veneers) which could make me look better or worse and Dr. Harpreet did a fantastic job. Not only her professional expertise, however her approach to a patient is also worth appreciating. Dr. Jaspreet and Dr. Harpreet are two extremely warm doctors who undoubtedly know their job well. They followed all COVID protocols, the clinic is super clean and well done with a beautiful background music playing constantly which I feel distracts you from the process and doesn't really make you feel you are being treated for something. Also, the girls at the reception to schedule or reschedule the appointments were very patient and polite. It's rare you find people greeting you with warmth and a smile.
Thank you to the doctors and their entire team. I would highly recommend, without any doubts just go ahead and book your appointment:)
⭐⭐⭐⭐⭐
Absolute Class! My experience here has been nothing short of phenomenal. I had booked my first appointment in Dec 2022 to fix the condition of my teeth. The whole experience was seamless and was very informative. Dr. Batth and the staff welcomed me very warmly and while fixing my teeth, they took out time to explain the whole process of how the decay happens and how I can be more careful. This extra touch to provide in depth knowledge of how, what, why me teeth were impacted and how I can better take care of them, made me feel valued and special. I have decided to take the next step of Invisalign with them as I genuinely feel comfortable and confident that Dr. Batth and this clinic would provide me the best service, information and knowledge in my journey to smile confidently!
⭐⭐⭐⭐⭐
Currently undergoing treatment (for an implant, multiple fillings and scaling) at Dr. Batth's Rath's dental dental clinic and it is one place I would HIGHLY recommend to anyone looking for help with their dental health, care and hygiene. The clinic is a very well-equipped and hygienic space with excellent staff and the expertise and warmth offered by Dr. Harpreet and Dr. Jaspreet. They aren't just treating my highly decayed teeth BUT ALSO helping me understand the entire process, with explanations offered at each step of the process and I highly appreciate this transparency since it's something we are often denied as patients at other places. I am grateful and glad I read other reviews and ended up going to this clinic because I saved myself from a major dental crisis at a very young age. So if you're looking for a dentist to help you with offering clear information along with painless (or less painful in my case) treatment and proper care, I'd say a single visit at Dr. Batth's will help you make up your mind
⭐⭐⭐⭐⭐
I have recently moved to Chandigarh and remember calling a friend to ask for the best dentist in the city, my friend asked if I needed the closest to where I lived or the best? I said the best and indeed, without any doubts it turned out to be the best. I am extrenely satisfied as I was looking for cosmetic changes (Veneers) which could make me look better or worse and Dr. Harpreet did a fantastic job. Not only her professional expertise, however her approach to a patient is also worth appreciating. Dr. Jaspreet and Dr. Harpreet are two extremely warm doctors who undoubtedly know their job well. They followed all COVID protocols, the clinic is super clean and well done with a beautiful background music playing constantly which I feel distracts you from the process and doesn't really make you feel you are being treated for something. Also, the girls at the reception to schedule or reschedule the appointments were very patient and polite. It's rare you find people greeting you with warmth and a smile.
Thank you to the doctors and their entire team. I would highly recommend, without any doubts just go ahead and book your appointment:)
⭐⭐⭐⭐⭐
Absolute Class! My experience here has been nothing short of phenomenal. I had booked my first appointment in Dec 2022 to fix the condition of my teeth. The whole experience was seamless and was very informative. Dr. Batth and the staff welcomed me very warmly and while fixing my teeth, they took out time to explain the whole process of how the decay happens and how I can be more careful. This extra touch to provide in depth knowledge of how, what, why me teeth were impacted and how I can better take care of them, made me feel valued and special. I have decided to take the next step of Invisalign with them as I genuinely feel comfortable and confident that Dr. Batth and this clinic would provide me the best service, information and knowledge in my journey to smile confidently!
⭐⭐⭐⭐⭐
Currently undergoing treatment (for an implant, multiple fillings and scaling) at Dr. Batth's Rath's dental dental clinic and it is one place I would HIGHLY recommend to anyone looking for help with their dental health, care and hygiene. The clinic is a very well-equipped and hygienic space with excellent staff and the expertise and warmth offered by Dr. Harpreet and Dr. Jaspreet. They aren't just treating my highly decayed teeth BUT ALSO helping me understand the entire process, with explanations offered at each step of the process and I highly appreciate this transparency since it's something we are often denied as patients at other places. I am grateful and glad I read other reviews and ended up going to this clinic because I saved myself from a major dental crisis at a very young age. So if you're looking for a dentist to help you with offering clear information along with painless (or less painful in my case) treatment and proper care, I'd say a single visit at Dr. Batth's will help you make up your mind
⭐⭐⭐⭐⭐
I have recently moved to Chandigarh and remember calling a friend to ask for the best dentist in the city, my friend asked if I needed the closest to where I lived or the best? I said the best and indeed, without any doubts it turned out to be the best. I am extrenely satisfied as I was looking for cosmetic changes (Veneers) which could make me look better or worse and Dr. Harpreet did a fantastic job. Not only her professional expertise, however her approach to a patient is also worth appreciating. Dr. Jaspreet and Dr. Harpreet are two extremely warm doctors who undoubtedly know their job well. They followed all COVID protocols, the clinic is super clean and well done with a beautiful background music playing constantly which I feel distracts you from the process and doesn't really make you feel you are being treated for something. Also, the girls at the reception to schedule or reschedule the appointments were very patient and polite. It's rare you find people greeting you with warmth and a smile.
Thank you to the doctors and their entire team. I would highly recommend, without any doubts just go ahead and book your appointment:)
Dr Batth © Copyright 2024. All Rights Reserved